other
产品
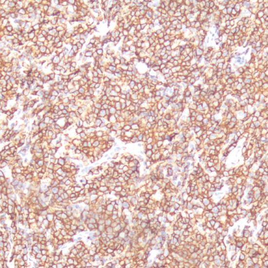
CD20

CD20

CD20单克隆抗体

  • 预处理:

    热修复
  • 阳性部位:

    细胞膜
  • 阳性对照:

    扁桃体
  • 适用组织:

    石蜡
  • 免疫显色试剂:

    iVision™
  • 产品编号:

    AR0491
  • 种属来源:

    兔单抗
  • 克隆号:

    SD386
  • 手工规格/ML:

    1、3、6、0.2(浓缩液)
  • 仪器规格/人份:

    30、60、120

CD20主要分布于B细胞、前B细胞后期和浆细胞前的B细胞。此抗体识别存在于大多数B细胞上的一种抗原,该抗原是位于CD20分子胞内部分的抗原决定簇,多用于标记B淋巴细胞及B细胞淋巴瘤。
# 留言
如果您对我们的产品感兴趣,想了解更多详情,请在此留言,我们会尽快回复您。
提交
#
相关产品
查看更多
AMACR/p504s AMACR/p504s
AMACR/p504s抗体试剂(免疫组织化学) 闽厦械备20180148号
AMACR/p504s AMACR/p504s
AMACR/p504s抗体试剂(免疫组织化学) 闽厦械备20180148号
AACT (Alpha-1 -Antichymotrypsin) AACT (Alpha-1 -Antichymotrypsin)
AACT抗体试剂(免疫组织化学) 闽厦械备20180058号
AAT (Alpha-1 -Antitrypsin ) AAT (Alpha-1 -Antitrypsin )
AAT抗体试剂(免疫组织化学) 闽厦械备20180171号
ALK(EML4) ALK(EML4)
ALK抗体试剂(免疫组织化学)闽厦械备20180059号
AFP AFP
Alpha-1-Fetoprotein抗体试剂(免疫组织化学) 闽厦械备20180173号

留言

留言
如果您对我们的产品感兴趣,想了解更多详情,请在此留言,我们会尽快回复您。

首页

产品

公司

联系