other
产品
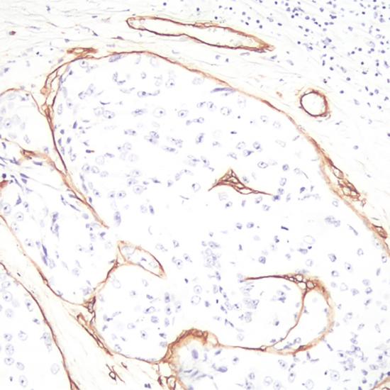
Laminin

Laminin

Laminin抗体试剂(免疫组织化学) 闽厦械备20180238号
  • 预处理:

    热修复
  • 阳性部位:

    基底膜
  • 阳性对照:

    乳腺癌
  • 适用组织:

    石蜡
  • 免疫显色试剂:

    iVision™
  • 产品编号:

    AM0148
  • 种属来源:

    鼠单抗
  • 克隆号:

    LAM-89
  • 手工规格/ML:

    1、3、6、0.2(浓缩液)
  • 仪器规格/人份:

    30、60、120

层粘连蛋白是细胞外基底膜的重要组成部分,分布于基底膜和细胞外基质、成纤维细胞、内皮细胞和平滑肌细胞分泌层粘连蛋白。肿瘤的浸润和转移与其遭到破坏相关,该抗体可用于标记基底膜,有助于观察肿瘤周围基底膜的分布及其变化,间接提示肿瘤的分化程度和浸润情况。

# 留言
如果您对我们的产品感兴趣,想了解更多详情,请在此留言,我们会尽快回复您。
提交
#
相关产品
查看更多
AMACR/p504s AMACR/p504s
AMACR/p504s抗体试剂(免疫组织化学) 闽厦械备20180148号
AMACR/p504s AMACR/p504s
AMACR/p504s抗体试剂(免疫组织化学) 闽厦械备20180148号
AACT (Alpha-1 -Antichymotrypsin) AACT (Alpha-1 -Antichymotrypsin)
AACT抗体试剂(免疫组织化学) 闽厦械备20180058号
AAT (Alpha-1 -Antitrypsin ) AAT (Alpha-1 -Antitrypsin )
AAT抗体试剂(免疫组织化学) 闽厦械备20180171号
ALK(EML4) ALK(EML4)
ALK抗体试剂(免疫组织化学)闽厦械备20180059号
AFP AFP
Alpha-1-Fetoprotein抗体试剂(免疫组织化学) 闽厦械备20180173号

留言

留言
如果您对我们的产品感兴趣,想了解更多详情,请在此留言,我们会尽快回复您。

首页

产品

公司

联系